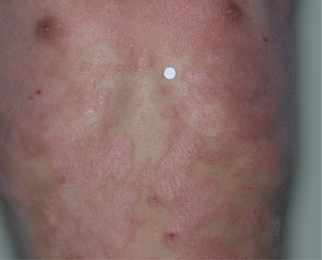
Lila,
una paciente real. Los
resultados individuales
pueden variar.
DUPIXENT en combinación con un corticosteroide tópico se estudió en un ensayo clínico de 16 semanas con 162 pacientes de 6 meses a 5 años de edad con eczema moderado a grave no controlado adecuadamente con tratamientos tópicos recetados.
Resultados de un ensayo clínico a las 16 semanas (DUPIXENT +
corticosteroides tópicos [CST] frente a CST únicamente):
El 28% que usó DUPIXENT + CST frente al 4% que usó CST únicamente
El 48% que usó DUPIXENT + CST frente al 9% que usó CST únicamente
UNA PIEL CON
El 53% que usó DUPIXENT + CST frente al 11% que usó CST únicamente
ANTES DEL
TRATAMIENTO
DESPUÉS DEL TRATAMIENTO CON 
DUPIXENT A LAS 16 SEMANAS
Utiliza el control deslizante para ver los resultados de antes y después de un paciente real de 4 años después de 16 semanas de tratamiento con DUPIXENT junto con un corticosteroide tópico en un ensayo clínico de fase 3. Este paciente cumplió con los criterios del ensayo clínico para una piel sin lesiones o casi sin lesiones. Los resultados individuales pueden variar.
Los efectos secundarios más comunes incluyen:
Los resultados de seguridad a largo plazo en niños pequeños que continuaron usando DUPIXENT con o sin CST en
el estudio de extensión pediátrico durante 1 año fueron coherentes con los ensayos clínicos en adultos. Además,
se notificaron casos de la enfermedad de manos, pies y boca, y verrugas. En estos casos notificados, los pacientes
continuaron el tratamiento con DUPIXENT.
Ver los posibles efectos secundarios de DUPIXENT
Esto es lo que debes saber sobre los pacientes que participaron en este estudio:
DUPIXENT es el único medicamento biológico aprobado por la FDA para el tratamiento
del eczema moderado a grave no controlado en niños desde los 6 meses de edad.  
Obtén consejos sobre cómo hablar con el
médico de tu hijo con nuestra guía de discusión
Encuentra recursos útiles y consejos sobre el
cuidado de un ser querido que usa DUPIXENT.
 
                    